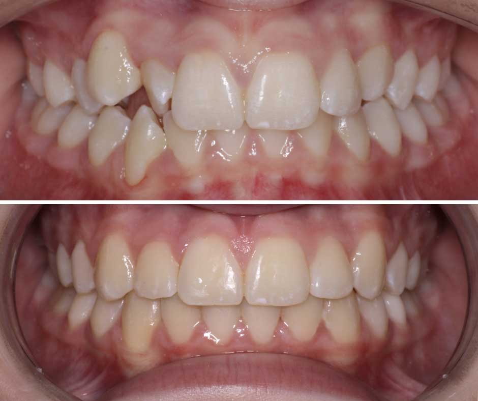
WE CRAFT BEAUTIFUL, LASTING Smiles.
These images show some recent smile transformations for Urbana and Darby Dental Smiles patients. Let us help you achieve the smile of your dreams!
OUR Smiles GALLERY





























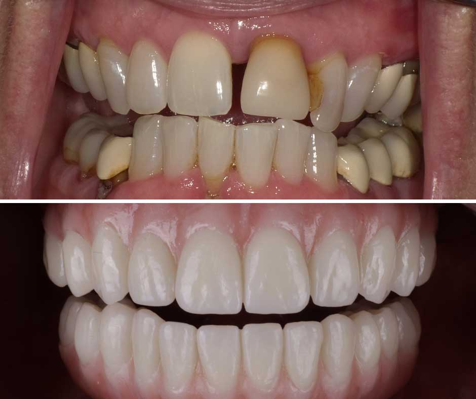
MORE BEAUTIFUL Smiles
Barbara H.
Barbara opened up to our staff that she was embarrassed about her smile. No one should be hesitant or embarrassed to smile, so our team got to work on a custom smile reconstruction plan for Barbara. After completing Barbara’s comprehensive case, her smile is as bright and vivacious as she is.


“I will never regret my decision to get reconstruction work – I feel great!”
Jamon S.
Jamon came to our offices unhappy with some of his past dental work. An old bridge was failing, and Jamon could feel it and see it in his smile. Dr. Kile put together a comprehensive dental plan to not only fix the old bridge, but correct and balance Jamon’s bite so that the repair would last longer and build Jamon’s confidence back with a bright new smile worthy of his bright personality!


“Dr. Kile took the time to balance my bite, so the work will last longer. Now I have the smile I always wanted.“
TAKE A Virtual Tour
We love coming into our offices each day and hope you feel comfortable visiting us too!
Take a virtual tour of our spaces so you know exactly what to expect before you come in.

URBANA DENTAL Smiles

DARBY DENTAL Smiles